
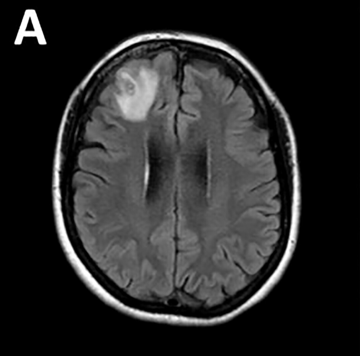
Les médecins ont découvert une “lésion atypique”, grâce à un examen IRM, dans la partie frontale du cerveau de l’Australienne, âgée de 64 ans, qui souffrait de pertes de mémoire.
La femme, qui avait été traitée pour une pneumonie mais ne s’était pas complètement rétablie, a été admise à l’hôpital en janvier 2021 après trois semaines de douleurs abdominales et de diarrhée, qui ont évolué vers une toux sèche et des sueurs nocturnes, selon les résultats publiés dans la revue Emerging Infectious Diseases.
Elle a été réadmise à l’hôpital trois semaines plus tard, son état ne s’étant pas amélioré, et a subi divers traitements jusqu’à ce que des scanners cérébraux révèlent une lésion et qu’une biopsie ouverte soit pratiquée en juin 2022.
L’examen a révélé la présence d’un Ophidascaris robertsi, un ver rond de huit centimètres qui, selon les chercheurs, est un parasite des kangourous et des pythons, en Australie. Il parasite des animaux dans d’autres régions du monde, mais il n’avait encore jamais été détecté sur un être humain.

Le ver, dont la “structure en forme de fil” est apparue sur les scanners cérébraux, a ensuite été identifié grâce à des tests ADN.
“Il s’agit du tout premier cas humain d’Ophidascaris décrit dans le monde”, a déclaré le docteur Sanjaya Senanayake, spécialiste des maladies infectieuses.
“À notre connaissance, c’est également le premier cas impliquant le cerveau d’une espèce de mammifère, humaine ou autre”, a-t-il précisé.
Les chercheurs pensent que l’Australienne a été infectée après avoir cueilli des fruits sur un arbuste probablement contaminé par des larves présentes dans des excréments de serpents, près de sa maison.
“Il n’est jamais facile ni souhaitable d’être le premier à être malade de quoi que ce soit au monde”, a ajouté le Dr Senanayake. “Je ne saurais trop exprimer notre admiration pour cette femme, qui a fait preuve de patience et de courage tout au long de ce processus”.
Selon le Dr Senanayake, il est “probable que d’autres cas soient identifiés à l’avenir”.